Das ist der Teil zwischen Magenausgang und Zwölffingerdarm. K298 Der ICD10 ist eine internationale Klassifikation von Diagnosen.

Zwolffingerdarmentzundung Symptome Behandlung Und Hausmittel Heilpraxis
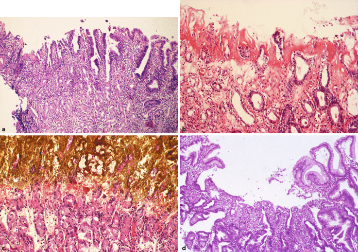
Der Entzündungsprozess des gesamten Darms wird als diffuse Zwölffingerdarmentzündung bezeichnet und die Entzündung seiner Knolle wird Bulbitis genannt.
Bulbitis und duodenitis. Chronische Duodenitis - persistent polietiologic dystrophischen Niederlage duodeni Epithel die durch eine Entzündung Transformation. ICD10SGBV die deutsche Fassung wird in Deutschland als Schlüssel zur Angabe von Diagnosen vor allem zur Abrechnung mit den Krankenkassen verwendet. Der Zwölf-Finger-Darm ist der erste Teil.
Anzeige Senföle in Kapuzinerkresse Meerrettich gelangen in die Harnwege. Bulbitis ist eine Läsion der Schleimhaut entzündlicher Natur des Zwölffingerdarms die zu einer Verletzung der sekretorischen und motorischen. Im Jahr 2010 traten durchschnittlich 144 Fälle je 100 Versicherungsjahre von Gastritis und Duodenitis.
Jetzt klicken für mehr Infos. Gastritis und Duodenitis Eosinophile Gastritis oder Gastroenteritis K528 Zollinger-Ellison-Syndrom E164 OK. Die Antrumgastritis eine spezielle Form der Gastritis Die Antrumgastritis.
Anzeige Persönliche Beratung und Betreuung. Die Bulbitis wiederum ist eine der am häufigsten diagnostizierten Duodenitis da sie sich in vielen Fällen vor dem Hintergrund einer Gastritis der. Schnelle Lieferung und günstige Preise.
Eine Bulbitis duodeni ist eine Entzündung im ersten Abschnitt des Zwölf-Finger-Darms. Bulbitis Duodenum ICD-10 Diagnose K298. Der ICD10 Code für die Diagnose Bulbitis Duodenum.
Diese Website benutzt Cookies. Eine Duodenitis kann selten ein Grund für das Auftreten von Durchfall sein. Jetzt ist die Zeit zu pflanzen.
Eine atemberaubende Auswahl an Blumenzwiebeln. Sammlung von Heilpflanzen werden zur schrittweisen Behandlung von akuten und chronischen Duodenitis. Wertvolle Pflanzenstoffe in sinnvoller Kombination.
Natürlich kann jedoch der Durchfall aus anderem Grund parallel zur Duodenitis. Arzneimittelkosten für Bulbitis und Duodenitis. Besonders häufig ist der erweiterte Anfangsteil des Zwölffingerdarms der Bulbus duodeni sowohl von Entzündungen als auch von Ulzera betroffen.
Die Bulbitis ist eine Entzündung des Bulbus duodeni. Diese Entzündungen werden dementsprechend als Bulbitiden. Duodenitis ist eine akute oder chronische Entzündung der Schleimhaut des Zwölffingerdarms.

Pdf An Approach To Duodenal Biopsies

Erosionen Und Ulzera Des Magens Und Bulbus Duodeni Springerlink
Https Gut Bmj Com Content Gutjnl 39 Suppl 3 A181 Full Pdf
Https Link Springer Com Content Pdf 10 1007 978 3 642 61009 7 4 Pdf

Pdf An Approach To Duodenal Biopsies

Pdf An Approach To Duodenal Biopsies
Https Www Esge Com Assets Downloads Pdfs Guidelines Esge Days 2021 Pdf
Https Www Degruyter Com Document Doi 10 1515 9783110871838 059 Pdf

Pdf An Approach To Duodenal Biopsies

Pdf An Approach To Duodenal Biopsies
![]()
Pdf Endoscopy Of The Upper Gi Tract Larisa Sandulescu Academia Edu
Https Www Esge Com Assets Downloads Pdfs Guidelines Esge Days 2021 Pdf
Http Onlinelibrary Wiley Com Doi 10 1111 J 1399 3046 2009 01146 X Pdf
Https Www Thieme Connect De Products Ebooks Pdf 10 1055 B 0034 7348 Pdf

Duodenitis Oedematous Bulbitis Bulb Erosion Small Fibrinous Erosion Fibrinous Erosion Bulbitis With Erosion Polypoid Bulbitis Polypoid Duodenitis Slight Inflammable Stenosing Duodenitis Normal Findings Ulcer Bleeding Diverticulum Duodenitis Polyps

Pdf An Approach To Duodenal Biopsies

Zwolffingerdarmentzundung Symptome Behandlung Und Hausmittel Heilpraxis


